Le Blanchiment Dentaire
BLANCHIMENT DENTAIRE

POUR UN SOURIRE ULTRA WHITE ET LONGUE DURÉE

Spécialiste du blanchiment dentaire depuis plusieurs années, Center K vous propose d’obtenir enfin le sourire dont vous rêvez. En relation directe avec les laboratoires cosmétiques français et les leaders américain d’équipements pour bars à sourire, tous nos produits et accessoires sont testés cliniquement et conformes aux normes européennes en vigueur.

Le principe :

Cette prestation consiste à rendre votre sourire d’un blanc éclatant grâce à l’application d’un produit sans peroxyde que l’on laisse poser sous une lampe UV. La séance dure environ 1h30.

Combien de temps dure le blanchiment des dents ?

Il dure entre 1 à 2 ans selon votre hygiène dentaire. La consommation de thé, tisanes, chocolat, café, sodas colorés, tabac altère le résultat du blanchiment. A éviter si vous souhaitez que votre blanchiment dentaire tienne et dure sur le long terme.

Quelles sont les différences entre les formules ?

Selon le résultat que vous souhaitez et la couleur initiale de vos dents, il vous faudra alors une seule ou plusieurs séances (espacées de maximum 7 jours)
Vous obtenez 70% du résultat lors de la première séance. C’est pour cela qu’il est préconisé d’effectuer une retouche (comprise avec la formule éclat ou prestige).

Prix en formule seul ou profitez d’une réduction en venant à 2: entre amis, en couple ou en famille !

  • SOLO

    FORMULE
  • TARIFS

  • FORMULE FLASH (1 SÉANCE) = 120 €

  • FORMULE ÉCLAT (2 SÉANCES) = 160 €

  • FORMULE PRESTIGE (3 SÉANCES) = 200 €

  • DUO

    FORMULE
  • TARIFS

  • FORMULE FLASH (1 SÉANCE) = 100 €

  • FORMULE ÉCLAT (2 SÉANCES) = 130 €

  • FORMULE PRESTIGE (3 SÉANCES) = 160 €

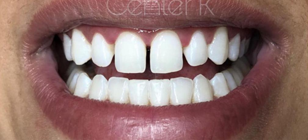
AVANT
APRÈS
AVANT
APRÈS
AVANT
APRÈS

Retrouvez nos réalisations en photos sur nos réseaux sociaux.

HORAIRES

MARDI - VENDREDI
9H - 19H NON STOP

SAMEDI
9H - 18H NON STOP

DIMANCHE - LUNDI
FERMÉ